贲门失弛缓症(Achalasia)是一种食管动力障碍性疾病,全球年发病率约为1/100,000,其特征为,导致LES松弛功能障碍。简单来说本该灵活松弛的食管下括约肌被焊死,食物咽下去却难入胃,时间一长,食管会像吹气球一样慢慢扩张,严重时甚至会挤走周围的气管,让人连呼吸都变得艰难。
今天我们说的就是这样一位惊险的患者:患者不仅吃不下饭、还总喘不上气,辗转就医后,竟发现是扩张的食管把气管“压到近乎闭塞”,连插管通气都差点失败。到底这个“食管失控”的病有多危险?医生又是如何一步步化解危机,今天就通过这个真实病例,带大家摸清这个罕见病的套路,关键时刻能救命!
患者47岁女性,因疑诊贲门失弛缓症,因气促、体重减轻及无法经口进食转外院就诊。胸部计算机断层扫描(CT)显示其食管显著扩张,向前推移并压迫气管及主支气管。入院2天后,患者进食期间突发呼吸窘迫,遂行气管内插管机械通气并转入我院。患者抵达后顺利拔除气管插管。食管镜检查发现食管内大量食物潴留,医嘱流质饮食,但患者仍持续摄入固体食物。
数日后呼吸窘迫再次发作,体格检查闻及喘鸣音伴弥漫性颈部肿胀。直接喉镜下仅可见会厌,虽行气管插管,但经导管调整及吸引后通气仍近乎无效。动脉血气分析(吸纯氧条件下):pH 6.86,PCO₂ 193 mmHg,PO₂ 87 mmHg。
紧急支气管镜检查显示患者存在严重的气管及主支气管外源性压迫(图1),气管插管尖端以下水平的气道闭塞。将气管插管推进至气管受压区远端,气道压力及气体交换迅速恢复正常。数小时后,患者出现氧饱和度下降,原因被判定为右主支气管插管。
图1. 纤维支气管镜示(A)气管外源性压迫致管腔近乎完全闭塞,(B)双侧主支气管受压[2]
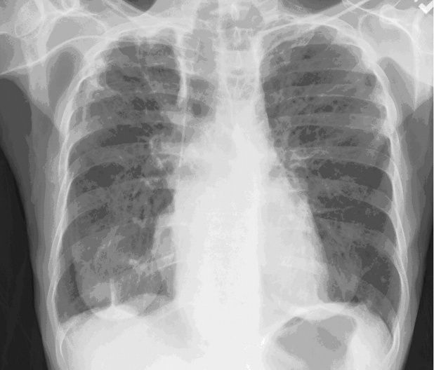
再次行支气管镜检查,并于颈部完全屈曲位将气管插管尖端精准定位于气管隆嵴正上方。胸部X线及CT影像显示纵隔增宽伴食管重度扩张,双侧主支气管受压(图2、图3)。
图2. 胸部X线. 胸部CT示食管重度扩张,导致喉部(A)、气管(B)及双侧主支气管(尤其右侧)(C)前向移位伴压迫[2]
。术后颈部肿胀即刻消退,患者顺利拔除气管插管。钡餐造影(图4)及食管测压最终确诊贲门失弛缓症。
图4. 钡餐造影显示慢性贲门失弛缓症特征:重度扩张的“S型食管”(乙状结肠形),末端逐渐变细呈典型“鸟嘴征”[2]
经食管下括约肌肉毒杆菌毒素注射治疗后,食管持续维持减压状态(图5),患者可安全经口摄入流质食物,康复出院。
食管贲门失弛缓症是一种罕见的原发性动力障碍性疾病,其特征为食管下括约肌(LES)松弛不全伴食管蠕动消失。I型贲门失弛缓症的诊断需满足食管胃连接处(EGJ)中位综合松弛压(IRP)≥15mmHg合并100%的蠕动功能丧失;II型与III型则分别对应中位IRP异常合并100%蠕动功能丧失且20%以上吞咽动作伴随全食管增压现象;或是中位IRP异常且20%以上吞咽动作出现过早/痉挛性收缩,且无蠕动证据(表1)。
表1 食管贲门失弛缓症的芝加哥分类标准(基于高分辨率食管测压结果)[3]
临床上贲门失弛缓症表现为固体与液体同步吞咽困难,若未及时干预,可进展为食管扩张并引发多种严重并发症。除典型吞咽困难外,呼吸道症状(如咳嗽、哮喘、肺炎、声嘶及咽痛)亦较常见,主要由食物反流吸入气道所致(表2)。相对而言,因食管扩张压迫气道引发的呼吸功能障碍则是本病的罕见表现。
正常嗳气反射的丧失:通常情况下,食管扩张时压力升高会促使食管上括约肌松弛,继而引发气体排出(即嗳气反射);若该反射失效,食管将持续扩张且无法代偿;
贲门失弛缓症的早期诊断对防治呼吸道结构受压至关重要。诊断方法包括钡餐造影、食管胃十二指肠镜检及食管测压。疑似病例通常首选钡餐造影,其典型表现为近端食管扩张伴远端狭窄(即鸟嘴样畸形);食管测压作为最具特异性的检查,可显示食管平滑肌段蠕动消失伴食管下括约肌松弛不全。影像学检查是发现呼吸道受压的关键手段,胸部CT能高效呈现支气管受压情况[4]。▌并发急性呼吸道受压的处置
,主要方案包括:机械扩张术、括约肌肉毒杆菌毒素注射、括约肌离断术[3]。内镜下食管减压术是首选疗法,通过解除食管扩张对气管及心脏的外源性压迫,从而恢复呼吸与循环功能。部分患者在标准治疗后仍出现呼吸功能障碍,可能与食管扩张时上食管括约肌无法正常松弛,即“嗳气反射障碍”相关。此时需实施
松解上括约肌,多数巨食管症引发的呼吸功能障碍通过上述干预措施可避免气管插管[2]。但对于远端气管严重受压导致的通气功能障碍,可能需紧急支气管镜精确定位气管插管位置优化通气,联合置入鼻胃管至食管近端抽吸潴留食物减轻气道压迫,再行确定性治疗。其他临时措施包括吸入氦氧混合气或舌下含服硝酸甘油,旨在降低食管下括约肌张力[2]。
*医学界力求所发表内容专业、可靠,但不对内容的准确性做出承诺;请相关各方在采用或以此作为决策依据时另行核查。
